犬の大腿骨頭壊死症 手術の紹介(レッグ・カルベ・ペルテス病)
こんにちは、投稿が久しぶりになってしまいました…🙏今回は当院で大腿骨頭壊死症(レッグ・カルベ・ペルテス病)と診断し、治療をおこなった子の症例紹介をします。
若いトイプードルちゃんで左後肢の挙上を主訴に来院されました。触診により股関節に疼痛を認めています。

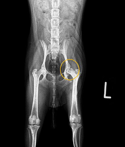
レントゲン検査をおこなったところ、写真のように大腿骨頭と呼ばれる部位が黒く抜けていることが分かりました。このような所見や発生状況から大腿骨頭壊死症(レッグ・カルベ・ペルテス病)と診断しました。

画像の黄色で囲ったところが病変部位です。
犬の大腿骨頭壊死症は、股関節を構成する「大腿骨頭(だいたいこっとう)」という部分に血液がうまく届かなくなり、骨が壊死してしまう病気です。特に小型犬(トイ・プードル、ヨークシャー・テリアなど)に多く見られ、若い時期に発症するのが特徴です。
症状としては
・後ろ足をかばうように歩く(跛行)
・足を上げたままにする(挙上)
・運動を嫌がる
・太ももの筋肉が細くなる
・股関節を触ると痛がる
「なんとなく歩き方がおかしい」と感じる軽い違和感から始まることが多いです。
はっきりとした原因は解明されていませんが、成長期の血流障害や遺伝的要因などが関係していると考えられています。
今回治療として手術を行うこととしました。一般的には「大腿骨頭切除術」と言われる、痛みの原因となる骨の部分を取り除くことで、生活の質を改善します。

(いきなりですが...💦)側面の太もも付近から皮膚を切開し、筋肉を分けて今回の大腿骨頭の部位を露出させたら、電動のソーで切っていきます。

ちょうど切り離すところです。

実際に手術で取り除いた骨です。

切除後は傷を縫って終了となります。

術後25日の様子ですが、左の後肢は着地できて歩いてくれるようになっていました。(写真...左側からではなく右側からで申し訳ございません...💦)
以上今回の症例紹介でした。わんちゃん頑張ってくれました!✨
貴重な症例の掲載を許諾してくださったご家族様にこの場でも感謝申し上げます。
